发热咳嗽8天,孩子肺差点“废了”!这些信号别忽视
2026-03-11 08:20儿二科
生活中孩子出现发热、咳嗽
不少家长都会想当然归为普通感冒
觉得吃点药就能扛过去
可他们不知道的是
一旦孩子抵抗力较弱或存在其他易感因素
普通感冒可能在短时间内急转直下发展为肺炎
若治疗不及时更可能
引发胸腔积液、脓胸等致命并发症
给孩子的健康埋下巨大隐患
CT结果让医生倒吸凉气
8岁的小骐(化名)就险些栽在这场“普通感冒”里,经历了一场惊心动魄的生死考验。入院前8天,小骐先是出现咳嗽、发热症状,谁料病情毫无好转迹象,反而急剧恶化——很快就出现气促、呼吸困难,甚至胸口剧痛难忍的情况。病初自行用药不仅毫无效果,还延误了病情,家长见状慌了神,急忙带着小骐赶往中山市博爱医院就诊。
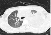
入院检查的结果让所有人都揪紧了心:医生查体发现小骐左肺呼吸音完全消失,胸部CT更是提示肺部病变严重,还伴有大量胸腔积液;后续胸部超声进一步确诊为包裹性胸腔积液。要知道,包裹性胸腔积液通过常规胸腔闭式引流疗效极差,若不能及时清除病灶,不仅发热、咳嗽等症状会迁延不愈,还可能留下胸膜黏连、肺不张等终身后遗症,小骐的病情已然危重且复杂。
8岁男孩胸腔被脓苔“糊死”
时间就是生命!医院儿二科王桂兰主任第一时间牵头,紧急组织小儿呼吸科、儿童重症科、小儿外科、影像科、麻醉科等多学科专家会诊。经过各科室专家充分研讨、精准评估,最终敲定方案:由医院小儿呼吸内镜团队为患儿实施儿童内科胸腔镜手术。
手术由儿科刘翔腾主任医师主刀,小儿外科、麻醉科团队全程护航,确保手术万无一失。术中,胸腔镜镜头清晰地展现出胸腔内的危急景象:大量脓液(脓苔)积聚,胸腔内黏连更是严重到近乎“锁死”。专家团队沉着应对,精准开展粘连带松解、脓苔廓清及引流操作,一步步为小骐“疏通”呼吸通道。
奇迹很快出现!术后当天,小骐的肺部体征就明显好转,复查胸片显示左侧胸腔积液较术前大幅减少;经过后续精心治疗,术后12天,小骐顺利康复出院,重新回归了无忧无虑的正常生活。
儿科呼吸内镜中心
中山市博爱医院儿童呼吸内镜中心成立于2009年,是广东省内最早开展小儿呼吸内镜技术的四家核心单位之一,2014年通过认证成为儿童四级腔镜中心,2023年入选 “国家卫生健康委儿科呼吸内镜医师培训项目” 合作单位并长期面向全国招收进修医护人员。
中心拥有博士2名(其中1名在读)、主任医师5名、主治医师1名的专业团队,为省内率先开展儿童内科胸腔镜的单位。已全面掌握儿童呼吸内镜三级手术及包括儿童内科胸腔镜在内的大部分四级手术操作且技术水平处于省内领先地位。

